1月3日,关于下巴后缩的话题引爆各大网络平台,不仅引发了网友的广泛讨论,也让很多家长开始关注孩子是否有相同的问题。 连日来,新桥口腔各院区关于下巴后缩的相关咨询和问诊明显增多,为帮助广大家长了解……
1月3日,关于“下巴后缩”的话题引爆各大网络平台,不仅引发了网友的广泛讨论,也让很多家长开始关注孩子是否有相同的问题。
连日来,新桥口腔各院区关于“下巴后缩”的相关咨询和问诊明显增多,为帮助广大家长了解“下巴后缩”的相关知识,避免过度焦虑,我们将一位家长带孩子来新桥口腔就诊的经过整理成文,供大家参考借鉴。现在,让我们一起来“云就诊”吧!
目测下巴后缩 妈妈火速带娃就医
几天前,晴晴妈妈对“下巴后缩”这个词还一无所知,但随着连续三天的热搜霸屏,她忍不住将目光转向了女儿的下巴。九岁的晴晴在上小学三年级,妈妈把更多的精力放在了学习方面,对孩子牙齿的关注主要是有没有虫牙。
在看到热搜的那个周五,晴晴妈妈仔仔细细地盯着女儿的下巴观察了一分多钟,和网上的视频、照片进行对比后,发现女儿也有同样的问题。孩子睡下后,她开始在手机上筛选医院和医生,随后预约了周日的门诊。

新桥口腔业务院长刘姗
1月5日,晴晴妈妈见到了新桥口腔业务院长、资深口腔正畸医生刘姗。
经过面诊,并根据全景片、CBCT、口扫检查结果,刘姗院长明确告诉家长,孩子目前没有下巴后缩的情况,但存在其他颌面部发育问题,包括牙弓狭窄和深覆合,还有乳牙滞留、替牙障碍等问题,需要正畸和儿牙两个专科的治疗,并为家长详细讲解了治疗方案。

晴晴的口腔侧位片(有深覆合,无下巴后缩)
刘姗院长肯定了晴晴妈妈对孩子面型的重视,同时建议她不必过度焦虑,“九岁多的孩子正处于替牙期,也是颌面部发育的高峰期,成年后的面型问题和牙齿排列问题多形成于这个时期,家长选择来院的时机是很及时的。”
刘姗院长也借此提醒广大家长:下巴后缩只是错颌畸形的表现之一,家长不可只片面关注这一个表现,对牙弓狭窄、深覆合、深覆盖、地包天等影响面型的症状表现也应该引起重视。
以下是刘姗院长对晴晴治疗方案的详细介绍。
【诊断结果】
牙弓狭窄,牙列拥挤,乳牙滞留,替牙障碍,乳牙龋齿,深覆合。

【治疗方案】
由于孩子正处于替牙期,治疗方案分为两个阶段。当天先拔除滞留的乳牙,约两周后进行口扫检查,佩戴隐形牙套,开始第一阶段的正畸治疗。
第一阶段:进行扩弓治疗和排齐前牙,扩弓的目的是为恒牙萌出预留足够的空间,缓解后期的牙列拥挤,由于孩子的磨牙还未全部萌出,本阶段先排齐前牙牙列。
第二阶段:待全部牙齿替换完成,进入恒牙列期后,根据孩子的面型和牙齿拥挤程度确定是否需要治疗,以及具体的治疗方案。

隐形矫正可同时实现扩弓和前牙排齐
【方案解读】
牙弓狭窄会引起牙列拥挤,乳牙滞留会造成恒牙萌出位置不正,甚至无法萌出,从而影响恒牙列的整齐度,深覆合是一种异常的上下牙咬合关系,会影响咀嚼、发音和面型。
通过扩弓治疗,可以缓解牙列拥挤,改善深覆合,解决牙齿整齐度和面型两方面的问题。

晴晴的口腔全景片(牙齿拥挤、乳牙滞留)
【知识点】什么是深覆合、深覆盖?
下巴后缩通常合并有深覆合、深覆盖,很多家长分不清两者的区别。深覆合是上牙包住下牙过多,是垂直向关系不正常,深覆盖是上牙相对下牙前突过多,上下门牙接触不上,是前后向关系不正常。

下巴后缩合并深覆盖治疗前后
【知识点】下巴后缩如何判断?
家长判断孩子有没有下巴后缩,不能只依靠肉眼观察,要看上下磨牙的对位关系是否正常。
小朋友的面部脂肪较多,下巴轮廓不明显,下颌骨还处在发育中,下巴相对于成年人会偏短偏小,容易被家长误认为是下巴后缩。没有下巴后缩的儿童,如果因为误诊接受了导下颌的治疗,会形成地包天面型。

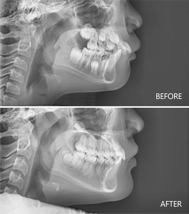
9岁女孩下巴后缩治疗前后
放下焦虑 把专业的事交给医生
经过和医生的详细沟通,晴晴妈妈对女儿目前存在的口腔和面型问题有了清晰的认知,从最初的焦虑、迷茫到了解很多早矫专业知识,她觉得这次就诊的含金量非常大,自己不再是一个儿童早矫“小白”。她同时也意识到,正在换牙的女儿今后还可能遇到其他口腔问题,与其被动应对不如主动预防。
为了省心,晴晴妈妈为女儿选择了“换牙无忧管理套餐”。该套餐涵盖了龋齿防治、乳牙拔除、儿童洁牙、儿童颜面部管理发育矫正方案等在内的全面的儿童口腔健康管理服务。
“我们家长再怎么学习,专业知识还是不够的,与其根据网上真假难辨的信息进行判断,不如放下焦虑,定期复查,把这些专业的事情交给医生来管理!”

新桥口腔成都衣冠庙院区儿童早期矫正专科医生石佳桐表示:“从开始换牙到换牙结束的这几年我们称为替牙期,一般是6-12岁。替牙期的口腔问题比较复杂,常常出现龋齿、乳牙滞留、乳牙早失、牙弓狭窄、深覆合、深覆盖等情况,通过规范的早期矫治和儿牙相关治疗,可以避免成年后牙齿排列不整齐和面型不美观的问题。”

新桥口腔儿童早期矫正专科医生石佳桐
想要孩子成年后有一个良好的面型和健康、美观的牙齿,需要家长和医生的密切配合。
建议广大家长首先培养好孩子刷牙、漱口等日常口腔清洁习惯,做好窝沟封闭、涂氟等防龋治疗,同时树立科学的防治观念,通过定期到院随访,及时发现孩子牙列和面型的问题,并接受必要的干预治疗。


8岁男孩下巴后缩治疗前后